About Us

Prewitt Dental

Our state-of-the-art technologies ensure accuracy, efficiency, and comfort. Our dental equipment is safe, effective, and well-maintained. Some of our dental technologies include those listed below:

Dentist in Sanger. Dentist in Madera Ranchos, CA. Prewitt Dental clinic staff provides exceptional dental care in Sanger and Madera Ranchos. Our experienced team is dedicated to enhancing your smile and oral health.

Digital X-Rays

Our advanced digital X-rays magnify and enhance your teeth for better diagnosis and treatment. This technology allows us to take images of your teeth and display them on a computer screen quickly and easily.

With digital X-rays, we can view your teeth and surrounding structures with remarkable accuracy.  These images provide the information we need to plan your dental treatment.

Digital X-rays require much less radiation than traditional film X-rays. Digital X-rays are a safe and effective dental technology.

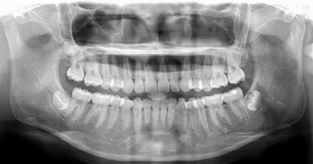
Panoramic X-Ray

A Panoramic X-ray machine rotates around your entire head to take a 360-degree view of your teeth, sinuses, and the bone structure of your head and jaws. This provides a more complete image than standard X-rays. Panoramic X-ray imagery is a valuable resource for Dr. Prewitt to use in diagnosis and treatment planning.

Dentist in Sanger. Dentist in Madera Ranchos, CA. Prewitt Dental clinic staff provides exceptional dental care in Sanger and Madera Ranchos. Our experienced team is dedicated to enhancing your smile and oral health.
Dentist in Sanger. Dentist in Madera Ranchos, CA. Prewitt Dental clinic staff provides exceptional dental care in Sanger and Madera Ranchos. Our experienced team is dedicated to enhancing your smile and oral health.

Cone Beam Imaging

Cone Beam imaging is an advanced form of digital radiography. With the cone beam imager, one simple scan will produce a 3D image of your entire maxillofacial structure. This image can then be used in diagnostics, patient education, treatment planning, and treatment follow-up.

The cone beam provides an effective solution to create quick, clear, precise images for your benefit. Additionally, the cone beam uses minimal radiation in scanning and is a much less-invasive process than other forms of imaging. This makes the cone beam an excellent choice for patients with dental anxiety or a sensitive gag reflex.

By utilizing advanced technologies like the cone beam, we can provide an effective, efficient, and comfortable patient experience for you on every visit.

Intra-Oral Scanner

What is the secret to making a great impression? At Prewitt Dental Group, we use our intra-oral digital scanner to ensure that the impressions we take are accurate, efficient, and comfortable every time.

Impressions are necessary for the fabrication of dental restorations, such as crowns, bridges, and dental implants. Our hand-held intra-oral scanner takes 3-dimensional digital video impressions with proven accuracy. Even the most challenging cases can be accurately scanned with our intra-oral scanner.

Another benefit to you is reduced time. When we send precise digital scans to our lab, your restorations require less preparation work and can be fabricated more quickly. This means you can have your restoration placed and be enjoying the results sooner than with traditional impression methods.

In the past, you may have experienced dental trays that filled with a soft substance that hardened into an impression of your mouth and teeth. With the intra-oral scanner’s small hand-held wand, we can take accurate digital impressions quickly and easily, without tripping your gag reflex.

Even more, as we complete your scan, you will be able to view the impression on the monitor along with us. This allows you to see more precisely why we have recommended restoration for your oral health needs.

We look forward to seeing you again at your next appointment with us. We love to make a great impression.

Dentist in Sanger. Dentist in Madera Ranchos, CA. Prewitt Dental clinic staff provides exceptional dental care in Sanger and Madera Ranchos. Our experienced team is dedicated to enhancing your smile and oral health.